マグロを極める:素材が命=目利きから鮮度維持管理そして輸送ノウハウまでの技術を伝授いたします
研究所資料館、技術研修、開発、飲食材超音波非破壊検査
研修内容:マグロの超音波目利きから品質管理技術の研修・人体血管模型作成・貝細工・トンネルフォトン水の調合および利用方法治験データーの閲覧・販売する飲食材の利用方法などの資料提供・実技トレーニング等商標登録第35類範囲内:トンネルフォトン水利用研修はサンゴ復興海域の案内も希望により行います。
完全予約制で連絡お問合せは電話09019448672料金は研修内容と時間と使用材料費と経費:受講人数は2人以上10人未満
所在地地図
マグロの目利きとブランド化技術へ
沖縄八重瀬町みなとかわ漁協魚介類
ホームページトップへ戻る Tranceration engrish マグロ水揚げ情報のブログへ
へ 港川漁協インフォメーション 海洋深層水利用鮮度維持延長と増生産
介護子育て健康生活のための技術と知識トップページ 夜光貝を極める技術 高次脳機能障害の回復のために
マグロは開けてみないとわからない?これからの時代は先端技術を応用して:超音波非破壊検査装置でマグロ内部の品質を見極めて目利きし、製品の品質に応じて納得いく製品づくりのノウハウ研究ページです::;人任せではビジネス戦略は打てません、攻めのビジネス=リアルタイム情報通信で広域セリ参加の時代出あります。当社は情報をリアルタイムにお送りする技術を持っていますので当社のお送りしたッ情報をもとにセリ打ちくださいその後の配送は請け負います:または特別の接待の時のこれぞという素材を選別いたします、
次世代のための生活技術 沖縄海洋深層水調合液の利用方法と製品販売ページ 超音波技術開拓道場マグロ超音波目利きの極意から超音波検査士の基礎 shoplineUp
examinationtuna 1 kakonosengyosetumeisyo maguro-echo001 maguroechomanyual maguroechte magurohinnsitukanrikoujyou
magurohinsitukoujyou magurohinsituUP magurokaigosyoku magurokaitou maguromekiki1 maguromekiki2 maguromekiki3 maguromekiki4 maguromekiki5
maguromekiki500siryoutyouonnpa
maguromekikiolympus maguroyakebousi sirokaw sirokawakajikiecho tunaechotest091202
tunaskeijyouhinsitu tyouonnpa tyutoromebachiusimg ustunaExamination2008 ytunaslookstaisting ytunastohongkong
maguroyaketaisaku maguroyaketaisakuEngrish
トローリングルアーの作り方 biburiotaisasku hongkongmaguro kaijikiruatext kajikiruanihongo kenekisyoumeisyo kepura30gou kurokawakajikisyori
ogasawarasengyo UltrasonicNondestructiveTestingOfEtelisCoruscansEngrish
Quality improvement and verification results for burnt tuna Way of cooking of luminous tunasUsexamination tunaskeijyouhinsitu
222ideahighbridtecnologyeco maguro-echo001maguroechomanyualmagurohinnsitukanrikoujyoumagurohinsitukoujyou

でオリンパスエポックを利用したマグロ及び生鮮食材の超音波非破壊検査ノウハウは当事業所にお任せください、技術者育成は自信あり
超音波目利きは多くの食材目利きに貢献します
サクランボの非破壊検査のご説明
写真は缶詰だしてプラスティック容器に移したミカンとサクランボのミックスです。
写真は容器に詰め込んだフルーツ素材です。缶から取り出した理由は缶表面と内部液体との音響イ
ンピーダンスに大きな差があるので、反射減衰を極力抑えるためです
①のサクランボ
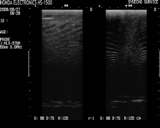
エコー写真![]()
内部は充実性にみられ中心部にシャドウを伴います。シャドウは種でした
②は別のサクランボ
→![]()
輪郭からしてサクランボと、評価できます。表面の輪郭より後方はシャドウで全く観察できません。内部性状は評価不可能です。シロップに浸かってなく、自然のままの空気の存在を示唆できます。①/②の比率2:1でした
実際にピックアップしたサクランボ![]()
見た目全く同じに見えます
それぞれの割面![]()
ほんの少し②のサクランボ小さく、身はシャキッとしています
テクスチャー
①はふんわりとした甘くソフトな食感
②は水気なく味覚も薄いがサクサクした歯ごたえのある食感
次はミカンを見ました
→![]()
→
ミカンも良く漬かっています。ミカンはどれも同じエコー像を示しました。
超音波目利きタイトル
マグロの品質検査 Quality inspection of tuna
マグロの品質の見極めの極意 Secret of assessing the quality of tuna
マグロの外観の見極め Identify tuna of appearance
マグロを超音波非破壊検査で見極める方法 How to determine the tuna in ultrasonic nondestructive testing
マグロの外観による品質見極め技術 Quality assess technology by appearance of tuna
マグロ集魚活性化の方法 Method of tuna aggregation activation
マグロの品質を見極める五つの方法 Five ways to assess the quality of the tuna
ひとつ鮮度見極め One freshness identify
二つマグロの絞め方を見極める Determine how to strangle the two tuna
マグロの超音波非破壊検査を行う To perform the ultrasonic non-destructive inspection of tuna
海洋深層水処理で鮮度維持延長を行う To perform a freshness maintenance extension in deep ocean water treatment
初期処理技術を構築し漁師に伝授する To build the initial processing technology to teach fishermen